science

L’IA et la télé-ophtalmologie sont similaires au diagnostic de la rétinopathie diabétique

Revu par Eric Kuklinsky

La valeur de l’intelligence artificielle (IA) augmente à mesure que la technologie continue d’évoluer, et le besoin d’intelligence artificielle et de télé-ophtalmologie est entré pleinement en vigueur pendant la pandémie de COVID-19 lorsque les évaluations en personne sont devenues presque impossibles, selon Eric Kuklinsky, étudiant en médecine, et ses collègues du Département d’ophtalmologie et des sciences visuelles du Rutgers College of Medicine du New Jersey, Newark.

Selon les chercheurs, la pandémie a révélé la nécessité de mobiliser davantage les ressources de télé-ophtalmologie et d’IA car elles peuvent assurer le dépistage de la rétinopathie diabétique (RD) et la continuité des soins pour les patients déjà diagnostiqués avec la RD.

Un grand avantage de l’IA est la capacité de la technologie à évaluer de nombreuses images en peu de temps et à identifier les patients qui ont besoin de soins d’urgence.

La capacité du logiciel d’IA à détecter la RD par rapport à l’ophtalmologie à distance et aux examens en personne effectués par un spécialiste de la rétine.

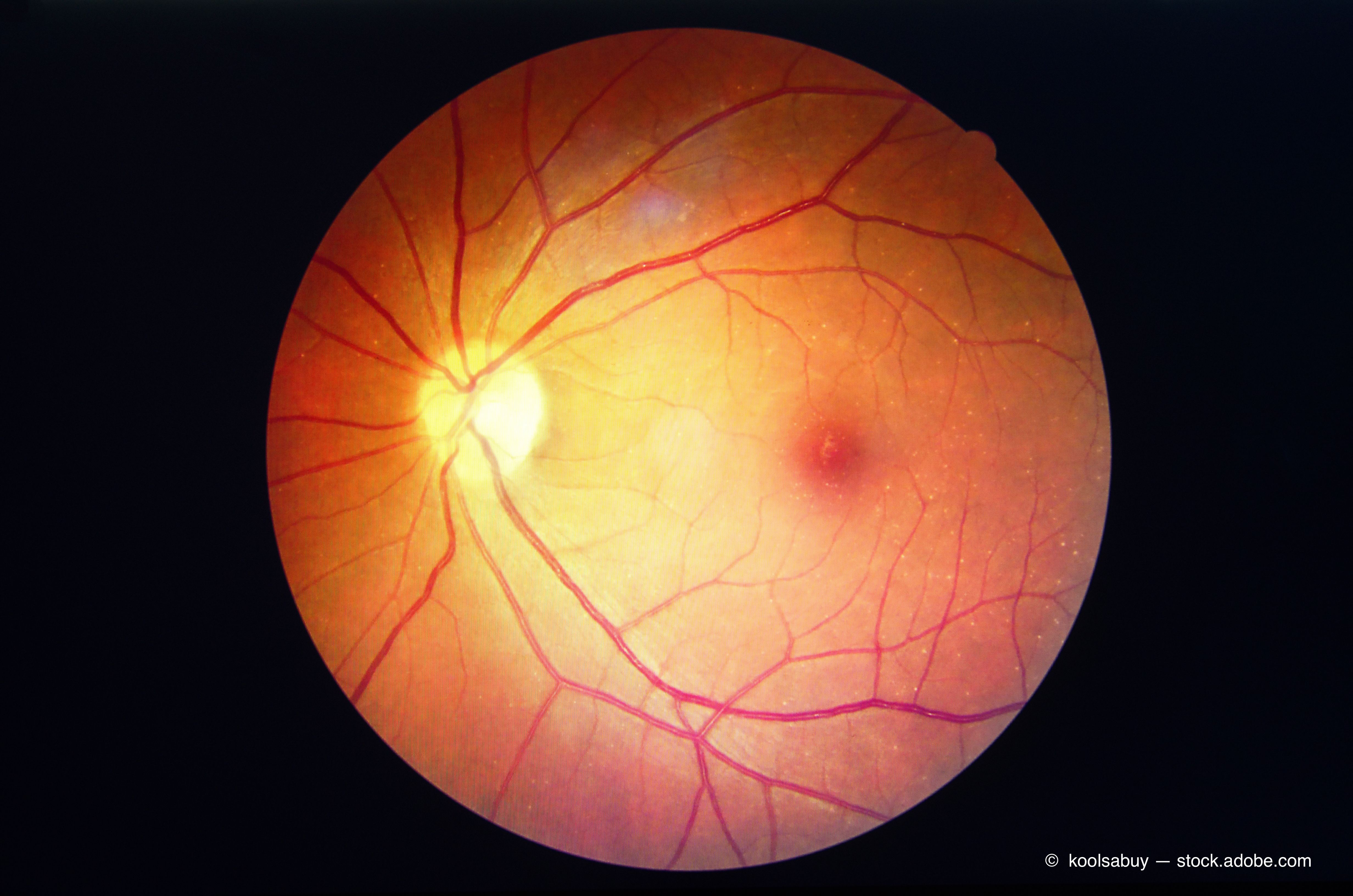
Quatre-vingts yeux de 40 patients (hommes, 45 % ; âge moyen, 55,1 ± 10,9 ans) ont été inclus dans l’analyse. La plupart des patients (60 %) étaient hispaniques et la plupart des patients (65 %) avaient des antécédents de diabète de type 2. Les chercheurs ont évalué les données démographiques des patients et les images rétiniennes obtenues avec une caméra d’imagerie rétinienne Canon CR-2 Plus. basé sur l’échelle internationale d’évaluation de la rétinopathie clinique (ICDR) lors d’une visite à la clinique en personne lors d’un examen du fond d’œil effectué par un spécialiste de la rétine.

READ  Avertir! Les télescopes de la NASA ont trouvé un énorme astéroïde de 910 pieds se dirigeant vers la Terre aujourd'hui.

Un logiciel d’IA (EyeArt, EyeNuk) a été utilisé pour classer les images rétiniennes. Les yeux ont été classés comme normaux ou avaient une RD légère ou plus que modérée. De plus, le spécialiste de la rétine a classé les images rétiniennes à distance à l’aide de l’échelle d’évaluation ICDR à l’aide de TeamViewer (télémédecine ophtalmologie). Les chercheurs ont ensuite évalué la concordance entre la télé-ophtalmologie, l’intelligence artificielle et les diagnostics de RD personnalisés.

Performances de l’IA

Au total, 33 yeux ont été diagnostiqués sans RD lors de l’évaluation subjective, 5 avec RD modérée (NPDR), 9 avec NPDR modérée, 3 avec NPDR sévère, 7 avec rétinopathie diabétique proliférante (PDR), 23 avec PDR régressive, ont rapporté les enquêteurs.

Onze yeux n’étaient pas évaluables par télé-ophtalmologie et l’IA n’a pas pu classer 26 yeux. La comparaison de concordance (en utilisant le coefficient kappa de Cohen) entre le diagnostic personnel et la télé-ophtalmologie était de 0,859 ± 0,058 (p < 0,001), entre le diagnostic personnel et l'IA 0,751 ± 0,082 (p < 0,001) et entre la télé-ophtalmologie et l'IA 0,883 ± 0,063 (p<0,001).

Kuklinsky et ses collègues ont également rapporté que l’IA montrait un taux élevé d’accord avec le diagnostic en personne et un accord presque complet avec la télé-ophtalmologie pour détecter la présence de RD dans ce groupe de patients.

L’analyse a également montré que la classification de la télé-ophtalmologie était en accord presque parfait avec le diagnostic en personne, indiquant que la télé-ophtalmologie est un outil fiable à utiliser dans le dépistage des patients à distance que l’IA peut ne pas être en mesure d’estimer.

READ  Découverte d'une cible thérapeutique potentielle pour les carcinomes canalaires pancréatiques

Les enquêteurs ont mis en garde que des améliorations étaient clairement nécessaires en raison du grand nombre d’images qui ne pouvaient pas être catégorisées via la télé-ophtalmologie et l’intelligence artificielle. Ils ont déclaré que « d’autres études devraient évaluer les moyens de réduire le nombre d’images non quantifiables et générer une analyse des tendances pour plusieurs visites chez un patient donné ».

Eric Kuklinski

Courriel : [email protected]

Cet article est extrait de la présentation de Kuklinsky à la réunion annuelle de la Society for Research in Vision and Ophthalmology à Denver. Il n’a aucun intérêt financier dans cette affaire.

Delphine Perrault

"Solutionneur de problèmes extrêmes. Chercheur avide de bacon. Écrivain maléfique. Geek du Web. Défenseur des zombies depuis toujours."

Articles similaires

Laisser un commentaire

Votre adresse e-mail ne sera pas publiée. Les champs obligatoires sont indiqués avec *

Bouton retour en haut de la page
Fermer
Fermer