L’hydrodissection guidée par ultrasons pourrait-elle être une alternative viable pour le syndrome du canal carpien ?

L’hydrodissection guidée par ultrasons du nerf médian avec une solution saline normale procure un soulagement complet aux patients souffrant du syndrome du canal carpien (CTS), une affection qui touche environ 3 % de la population aux États-Unis. Selon une étude présentée dans Réunion annuelle 2022 de la Radiological Society of North America (RSNA).
Auparavant, les études sur l’hydrodissection guidée par ultrasons pour le syndrome du canal carpien utilisaient des corticostéroïdes seuls ou dans le cadre d’une injection, ce qui rend difficile d’évaluer si l’hydrodissection seule est bénéfique ou si elle est due à l’effet des stéroïdes. , MD, est résident senior au Collège universitaire des sciences médicales et à l’hôpital Guru Teg Bahadur à Delhi, en Inde.
Cette procédure utilise des injections de fluide guidées par ultrasons pour séparer les nerfs des structures environnantes, dans le but de libérer les adhérences des tissus mous qui provoquent le piégeage des nerfs tout en restaurant la fonction nerveuse. Le Dr Bose a déclaré que la procédure ne prend que 10 à 15 minutes et est rentable car elle ne nécessite aucun équipement sophistiqué.
Cet essai contrôlé randomisé a inclus 63 patients atteints du syndrome du canal carpien réfractaire. Il y avait trois groupes de traitement avec le premier groupe subissant une hydrodissection guidée par ultrasons avec une solution saline normale seule, le deuxième groupe a subi une hydrodissection guidée par ultrasons avec une combinaison de solution saline normale et de corticostéroïde, et le troisième groupe recevant une injection périneurale de corticostéroïde dirigée sans dissection de l’eau.
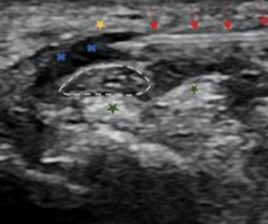
Pour évaluer la douleur et les symptômes d’un patient avant et après la procédure, les chercheurs ont utilisé le Boston Carpal Tunnel Questionnaire (BCTQ; symptômes et fonctionnel) et l’échelle visuelle analogique (EVA), et ont examiné les résultats de la section transversale du nerf médian à l’échographie. Le suivi a été complété à quatre semaines, 12 semaines et six mois.
À quatre semaines, des améliorations significatives du score BCTQ moyen (symptomatique et fonctionnel) et du score VAS ont été observées dans les groupes I, II et III de 61,9 %, 85,7 % et 100 %, respectivement. Aux 12e et 6e semaines de mois, les deux groupes d’anatomie aqueuse se sont améliorés de 95,2 % pour le groupe un et de 96 % pour le groupe deux, tandis que 14,7 % du groupe trois ont signalé une récurrence des symptômes avec une augmentation des scores BCTQ et VAS.
Les chercheurs ont également constaté une réduction significative de la section transversale des nerfs médians à l’échographie dans les deux groupes d’anatomie aqueuse, notant une réduction de 43% pour le premier groupe et de 46% pour le deuxième groupe, par rapport à un 11 pourcentage de réduction pour le troisième groupe. Aucun effet indésirable significatif n’a été signalé.
Les auteurs ont conclu que l’hydrodissection du nerf médian avec une solution saline normale seule par ultrasons apporte une amélioration clinique et morphologique significative et durable pour les patients atteints du syndrome du canal carpien. Ils ont ajouté que l’ajout d’un corticostéroïde à la solution saline n’apportait aucun avantage significatif car « l’effet thérapeutique était principalement dû à l’hydrodissection ».
« Ce fut une agréable surprise lorsque cette simple procédure d’hydrodissection guidée par échographie a permis un soulagement à long terme des patients », a déclaré le co-auteur Anupama Tandon, MBBS, professeur au Collège universitaire des sciences médicales et à l’hôpital Guru Tegh Bahadur. . « Les patients étaient très satisfaits car le coût était faible, il n’y avait pas besoin d’anesthésie ou d’hospitalisation, et ils pouvaient revenir dans l’heure et reprendre leur travail de routine. »




